Co zrobić w przypadku urazu zęba?

W przypadku doznania urazów w obrębie jamy ustnej należy niezwłocznie skonsultować się z lekarzem dentystą, aby możliwie najszybciej określić rodzaj urazu i wdrożyć odpowiednie leczenie. Czas ma w tych sytuacjach kluczowe znaczenie. Dentysta zbada jamę ustną i wykona badanie rentgenowskie, które jest bardzo pomocne. Dzięki niemu można rozpoznać np. złamanie korzenia zęba. W przypadku dolegliwości bólowych na skutek złamania lub ukruszenia zęba lekarz zaopatrzy go oraz zaleci odpowiedni lek przeciwbólowy. W miarę możliwości należy zachować ułamany fragment zęba i zabrać go ze sobą do dentysty.

W przypadku całkowitego wybicia zęba na skutek urazu, należy jak najszybciej udać się do gabinetu. Czasem możliwe jest ponowne umieszczenie zęba w zębodole — jest to reimplantacja.

Jak dentysta leczy różne urazy zęba?

Ukruszony ząb - co można zrobić?

Jeżeli nie odczuwasz dolegliwości bólowych, ząb nie jest nadwrażliwy, a ukruszony fragment jest niewielki, to można wygładzić jedynie ostrą krawędź. W zależności od rozmiaru uszkodzenia ząb można odbudować kompozytem, czyli wykonać wypełnienie lub zrobić licówkę czy koronę. W niektórych przypadkach możliwe jest doklejenie odłamanego fragmentu korony zęba. Poproś dentystę o wyjaśnienie tych metod leczenia. Jeżeli ukruszeniu ulegnie wypełnienie, licówka czy korona protetyczna to należy indywidualnie ocenić możliwości ich naprawy.

Postępowanie z ukruszonym zębem zależy od skali uszkodzenia:

  • Drobne uszkodzenia: Jeśli ubytek jest niewielki i nie odczuwasz bólu, stomatolog może jedynie wygładzić ostrą krawędź, by nie drażniła policzka.
  • Odbudowa estetyczna: Większe braki uzupełnia się materiałem kompozytowym (tzw. bonding) lub za pomocą licówek i koron protetycznych.
  • Doklejenie fragmentu: Często możliwe jest przyklejenie odłamanego kawałka zęba przy użyciu specjalistycznych systemów wiążących, dlatego zawsze zabierz go ze sobą na wizytę.

Złamany lub pęknięty ząb

Złamane lub pęknięte zęby należy jak najszybciej naprawić, aby uniknąć dalszych uszkodzeń, które mogą doprowadzić do konieczności leczenia kanałowego lub nawet do usunięcia zęba. 

Pęknięcia są trudniejsze do zdiagnozowania, ponieważ często nie widać ich gołym okiem ani nawet na zdjęciu RTG. Twoją czujność powinny wzbudzić:

Ból pojawiający się tylko podczas nagryzania (przeżuwania).

Nagła nadwrażliwość na temperaturę (zimno/ciepło) lub powietrze.

Dlaczego to ważne? Nieleczone pęknięcie pogłębia się, co może prowadzić do nieodwracalnego zapalenia miazgi (leczenie kanałowe) lub konieczności usunięcia zęba.

Objawy złamanego lub pękniętego zęba, na które warto zwrócić uwagę, to ból przy przeżuwaniu pokarmów i nadwrażliwość na zimne, a czasem także gorące pokarmy i płyny, jak również powietrze, która z czasem może się nasilać.

Wybity ząb

Najlepszą metodą leczenia w przypadku wybicia zęba jest jego ponowne umieszczenie w zębodole. Kluczowy jest czas - im szybciej, tym lepiej. Całkowite wybicie zęba z zębodołu to stan nagły. Istnieje duża szansa na tzw. reimplantację (ponowne umieszczenie zęba na miejscu), pod warunkiem zachowania żywotności komórek ozębnej.

Jak postępować? (Zasada 30 minut)

  • Chwyć za koronę: Nigdy nie dotykaj korzenia zęba (tej części, która była w dziąśle).
  • Oczyść delikatnie: Jeśli ząb jest brudny, opłucz go krótko zimną wodą. Nie szoruj go i nie używaj detergentów!
  • Zabezpiecz transport: Ząb nie może wyschnąć. Najlepiej umieścić go w:
  1. pojemniku z mlekiem,
  2. soli fizjologicznej (dostępna w aptekach),
  3. jamie ustnej (między policzkiem a zębami – tylko u dorosłych, by uniknąć połknięcia).
  4. Nigdy nie przechowuj zęba w chusteczce higienicznej!
  • Pędź do dentysty: Największa szansa na sukces reimplantacji istnieje, jeśli ząb trafi do zębodołu w ciągu 30 minut.

 

Braki zębowe powinny zostać jak najszybciej uzupełnione. Ma to na celu uniknięcie problemów, takich jak trudności z przeżuwaniem pokarmów i mówieniem, przesunięcie pozostałych zębów, zaburzenia ze strony stawów skroniowo-żuchwowych. Możliwość zastąpienia braków zębowych mostami, implantami lub protezami musi być oceniona indywidualnie u każdego pacjenta przez dentystę.

Jak uzupełnić braki w uzębieniu?

Jeśli zęba nie udało się uratować, lukę należy uzupełnić jak najszybciej. Pozostawienie wolnego miejsca prowadzi do przesuwania się sąsiednich zębów, zaniku kości oraz problemów ze stawami skroniowo-żuchwowymi. Nowoczesna stomatologia oferuje:

  • Implanty: Najtrwalsze rozwiązanie, zastępujące korzeń zęba.
  • Mosty protetyczne: Mocowane na sąsiednich zębach.
  • Protezy: Uzupełnienia ruchome.

Złamanie szczęki

W przypadku podejrzenia złamania szczęki lub żuchwy należy niezwłocznie udać się do szpitala. Nie można lekceważyć takiego stanu. Konieczne jest unieruchomienie i zaopatrzenie złamania.

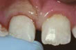
Chipped

Ukruszony ząb przedni

Repaired

Ukruszony ząb po naprawie

KnockedOut

"Wybity ząb stały"

Reinserted

Należy ostrożnie włożyć wybity ząb z powrotem na miejsce i niezwłocznie udać się do dentysty

 

QUIZ DOTYCZĄCY ZDROWIA JAMY USTNEJ

Co kryje się za Twoim uśmiechem?

Oceń stan swojej jamy ustnej, aby w pełni wykorzystać możliwości rutynowej pielęgnacji

QUIZ DOTYCZĄCY ZDROWIA JAMY USTNEJ

Co kryje się za Twoim uśmiechem?

Oceń stan swojej jamy ustnej, aby w pełni wykorzystać możliwości rutynowej pielęgnacji